EXTRACCIÓN
DE AMALGAMAS
Libérate del mercurio
de forma segura
¿Qué son las amalgamas?
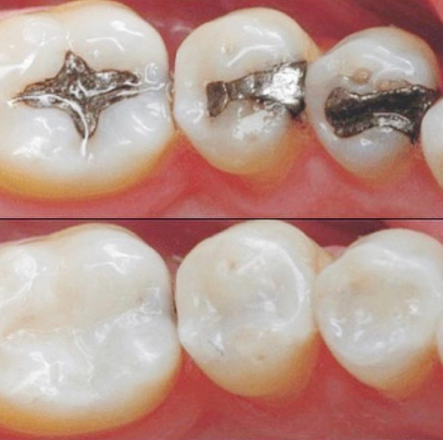
Las amalgamas dentales son restauraciones o empastes plateados que se usan para obturar las caries dentales.
Este tipo de restauraciones están hechas de varios metales como mercurio, cobre, plata, zinc y estaño. Cerca del 50% de esta aleación es mercurio. El mercurio es considerado el elemento más tóxico que existe para el ser humano, a pesar de ello fue permitido para ser usado en la boca.
Retirada segura de las amalgamas
¿Por qué se recomienda la retirada de las amalgamas?
El mercurio contenido en las amalgamas dentales escapa en forma de vapor, cada vez que masticamos, tomamos cosas frías y calientes, cuando juntamos los dientes, cuando apretamos los dientes… ese vapor se va liberando día tras día, intoxicándonos.
Las personas con amalgama pueden experimentar síntomas neurológicos, fatiga crónica, dolores articulares, musculares, autoinmunidad y alergias. El mercurio se deposita en tejido graso y cerebro.
Para garantizar una salud y longevidad óptimas, el mercurio debe eliminarse de manera segura tanto para el paciente como para el odontólogo y su personal. Por ello aplicamos el protocolo «S.M.A.R. T» seguido de un programa de desintoxicación. Un programa de desintoxicación efectivo que variará de persona a persona.
Esperamos poder ayudarte a liberarte del mercurio y avanzar hacia tu mejor estado de salud y longevidad.
Consultas
FRECUENTES
Las amalgamas deben ser retiradas siguiendo el protocolo SMART para garantizar una extracción segura.
En restauraciones muy grandes usamos un protocolo para disminuir y evitar la sensibilidad.
Depende del caso y cómo se encuentre la persona. Pero se puede hacer en varias sesiones o en una.
Después de la retirada de amalgamas o de metales en boca, recomendamos seguir una suplementación para ayudar al cuerpo a su eliminación.
