Clínica Dental
Biológica en Cataluña
Llevar 21 años en el sector es todo un éxito que se debe a factores como constancia, profesionalidad y una vocación por cuidar a cada paciente con dedicación y respeto, atendiendo sus necesidades de manera 100% personalizada. Su confianza es nuestro mayor estímulo.
Hacemos una buena planificación de cada caso para obtener resultados altamente satisfactorios y estables en el tiempo.
Nuestra filosofía de trabajo
es la calidad humana
y la base científica
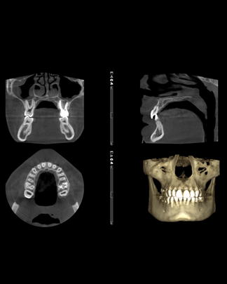
ÚLTIMA TECNOLOGÍA
Contamos con un equipo de CBCT (radiografías en 3D ) Esta tecnología nos ayuda a examinar más detalladamente las estructura que componen tu boca , empleando mucha menor radiación y muchas más presión y nitidez, para logra mejores diagnósticos y poder hacer una planificación más exhaustiva de tus tratamientos.
Contamos también con ESCANER DENTAL, que nos ayuda evaluar la situación inicial de tu boca.
NUESTRA MISIÓN
Nuestro propósito es poder ayudarte a tener una boca sana y libre de interferencias, infecciones ocultas e inflamaciones que puedan estar afectando tu salud y bienestar general. Usando las mejores técnicas, terapias y materiales para lograrlo.
NUESTROS VALORES
COMPROMISO para brindar a nuestro paciente una odontología de calidad, cercana y con garantías.
CONFIANZA con un trato cercano y una escucha activa.
HONESTIDAD con nuestro paciente y su salud bucal dental.
PROFESIONALIDAD. Nos especializamos para ofrecerte los mejores tratamientos.
INNOVACIÓN. Estamos en constante formación para ofreceros las nuevas tecnologías, los mejores tratamiento y los mejores materiales.
IMPLICACIÓN. Cada paciente es importante.
LEALTAD. Queremos ser tu dentista para toda la vida y que nos confíe su salud y la de su familia.
